헬리코박터균 원인 및 증상
헬리코박터균은 위장 건강에 큰 영향을 미치는 세균으로, 많은 사람들에게 다양한 위장 질환을 일으키는 원인으로 알려져 있습니다. 이 균은 주로 위벽에 서식하며 위염, 위궤양, 십이지장궤양 같은 질병을 유발할 수 있습니다. 특히 헬리코박터균이 감염되면 위산을 중화하는 특성으로 인해 위에서 생존할 수 있는 독특한 환경을 만듭니다. 그렇다면, 헬리코박터균의 감염 원인과 증상은 무엇일까요?
헬리코박터균의 감염 원인
헬리코박터균의 주요 감염 경로는 주로 사람 간의 접촉을 통해 이루어집니다. 이는 위생 상태가 불량한 환경에서 더욱 빈번하게 발생하며, 감염된 사람과의 직접적인 접촉, 오염된 음식 또는 물을 통해 전염될 수 있습니다. 특히, 가족 내에서의 전염도 흔한 편이며 부모와 자녀 간의 전파가 잘 이루어집니다. 또한, 음식을 함께 나눠 먹는 문화가 있는 경우에는 헬리코박터균의 감염 위험이 높아질 수 있습니다. 이 세균은 침이나 구토물을 통해 퍼질 수 있어 구강 위생이 중요합니다.
헬리코박터균은 저개발 국가나 위생 상태가 좋지 않은 지역에서 특히 높은 감염률을 보입니다. 많은 사람들이 어릴 때부터 헬리코박터균에 감염되며, 이는 성인이 되어서도 지속될 수 있습니다. 감염된 경우 대부분 특별한 증상이 나타나지 않지만, 면역력이 약해지거나 위장이 예민해질 경우에는 다양한 소화기 문제로 이어질 수 있습니다.
일상적인 생활 습관이나 위생 관리 소홀도 헬리코박터균 감염에 영향을 미칠 수 있습니다. 특히 손을 제대로 씻지 않거나 불결한 환경에서 음식을 섭취할 경우 감염 가능성이 높아집니다. 따라서 개인위생 관리와 함께 건강한 생활 습관을 유지하는 것이 중요합니다.






헬리코박터균 감염 시 주요 증상
헬리코박터균에 감염되면 다양한 증상이 나타날 수 있지만, 많은 사람들은 무증상으로 감염 상태를 유지하기도 합니다. 그러나 증상이 나타나는 경우에는 위장 문제와 관련된 불편함을 느끼게 됩니다. 헬리코박터균은 위점막을 손상시키기 때문에 위산이 증가하거나 위산의 균형이 깨질 수 있으며, 이는 속 쓰림이나 소화불량, 복부 팽만감 등의 증상으로 이어질 수 있습니다.
위염이나 위궤양이 발생한 경우에는 통증이 더 심해질 수 있으며, 특히 식사 후에 통증이 더욱 두드러지게 나타납니다. 이러한 통증은 윗배에서 주로 발생하며, 간혹 메스꺼움이나 구토를 동반할 수도 있습니다. 위산이 과다하게 분비되면 식도 역류가 발생할 수 있으며, 이는 가슴 속 타는 듯한 느낌으로 나타나기도 합니다.
헬리코박터균 감염으로 인해 만성적인 위염이 발생할 경우 위벽이 약해져 출혈이 발생할 수 있습니다. 이로 인해 대변이 검게 변하거나 혈변을 볼 수 있으며, 이는 즉각적인 의학적 치료가 필요한 증상입니다. 장기적으로는 이러한 위장 질환이 악화되어 위암으로 발전할 위험도 존재하므로 주기적인 검진이 필요합니다.
헬리코박터균과 위염의 연관성
헬리코박터균은 위염의 주요 원인 중 하나로 꼽히며, 만성 위염을 유발할 수 있습니다. 위염은 위 점막이 염증으로 인해 붓고 손상되는 질환으로, 주로 헬리코박터균의 감염에 의해 발생합니다. 감염 초기에는 큰 증상이 없더라도 시간이 지나면서 점차적으로 염증이 심해지고 통증을 느낄 수 있습니다. 이 염증은 식사 후 통증이나 속쓰림, 메스꺼움 같은 위장 장애를 동반할 수 있습니다.
위염이 장기적으로 지속되면 위 점막의 손상이 심해져 궤양으로 발전할 위험이 높아집니다. 궤양이 발생하면 위산이 과다하게 분비되고, 이는 위벽을 더욱 손상시켜 상처를 악화시킬 수 있습니다. 이러한 상태가 지속되면 출혈이 발생할 수 있으며, 심한 경우에는 위암으로 이어질 가능성도 있습니다. 따라서 헬리코박터균 감염이 의심된다면, 조기에 진단받고 적절한 치료를 받는 것이 중요합니다.
헬리코박터균이 유발하는 만성 위염은 생활 습관과도 밀접한 연관이 있습니다. 스트레스, 불규칙한 식사 습관, 과도한 음주, 흡연 등은 위염의 증상을 악화시킬 수 있으며, 헬리코박터균 감염을 더욱 심각하게 만들 수 있습니다. 이러한 생활습관을 개선함으로써 위염의 악화를 막고 위장 건강을 유지할 수 있습니다.
헬리코박터균과 위궤양의 관계
위궤양은 헬리코박터균 감염으로 인해 발생할 수 있는 대표적인 질환입니다. 위궤양은 위벽이 헬리코박터균에 의해 손상되어 궤양이 생기는 상태를 말하며, 주로 위산 분비가 과도해지거나 위벽의 방어막이 약해져 발생합니다. 위궤양이 생기면 복부 통증, 속쓰림, 소화불량 등의 증상이 나타나며, 특히 식후에 통증이 심해질 수 있습니다.
헬리코박터균이 위벽을 손상시키면 위산이 위점막에 직접적으로 영향을 미쳐 염증과 궤양을 유발하게 됩니다. 이러한 상태가 지속되면 위벽에 깊은 상처가 생기고, 출혈이 발생할 수 있습니다. 위궤양은 특히 식사 후 통증이 심해지는 특징이 있으며, 이는 위산이 궤양 부위를 자극하기 때문입니다. 심한 경우에는 구토나 메스꺼움이 동반되며, 대변이 검게 변할 수도 있습니다.
위궤양은 치료하지 않고 방치하면 더 심각한 합병증으로 이어질 수 있습니다. 궤양이 깊어지면 위천공이나 출혈이 발생할 수 있으며, 이는 생명을 위협하는 상황을 초래할 수 있습니다. 헬리코박터균에 의한 위궤양은 약물 치료를 통해 균을 제거하고, 위산 억제제를 사용하여 치료할 수 있습니다.






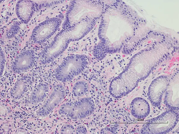
헬리코박터균 감염의 진단 방법
헬리코박터균의 감염 여부를 확인하는 방법에는 여러 가지가 있습니다. 가장 일반적인 방법은 위 내시경 검사입니다. 내시경을 통해 위 내부를 직접 확인하며, 위 점막의 손상 정도와 염증 상태를 평가할 수 있습니다. 동시에 조직 검사를 통해 헬리코박터균의 존재 여부를 확인할 수 있습니다. 이 방법은 정확도가 높아 헬리코박터균 감염을 확실하게 진단할 수 있습니다.
또 다른 진단 방법으로는 호흡 검사와 혈액 검사가 있습니다. 호흡 검사는 비교적 간단한 방법으로, 환자가 특정 물질을 마신 후 그 물질이 헬리코박터균에 의해 분해되는 과정을 통해 감염 여부를 확인합니다. 혈액 검사는 헬리코박터균에 대한 항체가 있는지 여부를 확인하는 방법으로, 과거에 감염된 적이 있는지도 파악할 수 있습니다.
이 외에도 대변 검사를 통해 헬리코박터균을 확인하는 방법도 있으며, 대변에서 균의 존재를 직접 검출합니다. 대변 검사는 간단하고 비침습적인 방법으로, 주로 소아나 내시경 검사가 어려운 경우에 사용됩니다. 이처럼 다양한 검사 방법을 통해 헬리코박터균 감염을 진단할 수 있으며, 각 방법은 상황에 따라 선택적으로 시행됩니다.
헬리코박터균 치료 방법
헬리코박터균 감염은 대부분 약물 치료를 통해 효과적으로 치료할 수 있습니다. 주로 항생제와 위산 억제제를 병용하여 균을 제거하고 위장 점막의 염증을 줄이는 방법을 사용합니다. 헬리코박터균은 위산이 많은 환경에서도 생존할 수 있기 때문에, 위산 억제제를 함께 사용하여 균의 생존을 막는 것이 중요한 전략입니다. 이 치료법은 보통 1~2주 정도 지속되며, 환자의 상태에 따라 다르게 적용될 수 있습니다.
치료 후에는 헬리코박터균이 완전히 제거되었는지 확인하기 위해 추가적인 검사를 시행합니다. 이 과정에서 균이 완전히 제거되지 않았을 경우, 재감염될 가능성이 있으므로 추가 치료가 필요할 수 있습니다. 약물 치료와 함께 건강한 식습관과 생활 습관을 유지하는 것도 매우 중요합니다.
헬리코박터균 치료는 성공률이 높은 편이지만, 균이 다시 감염될 가능성도 있습니다. 특히 가족 내 감염이 빈번하게 발생하기 때문에, 가족 구성원 전체가 동시에 치료를 받는 것이 중요할 수 있습니다. 또한 재감염을 방지하기 위해 개인위생 관리에 신경 써야 하며, 특히 손 씻기와 음식 섭취 시 청결한 환경을 유지하는 것이 필요합니다.
헬리코박터균 감염 예방 방법
헬리코박터균 감염을 예방하기 위해서는 철저한 개인위생 관리가 필수적입니다. 특히 손을 자주 씻고, 음식을 섭취하기 전후에는 반드시 청결을 유지하는 것이 중요합니다. 헬리코박터균은 주로 침이나 구토물, 그리고 오염된 음식물로 전파되기 때문에 식사를 준비하거나 음식을 섭취할 때 주의가 필요합니다. 위생 상태가 나쁜 환경에서는 감염 위험이 높아지므로, 깨끗한 물과 음식을 섭취하는 것도 중요한 예방 방법 중 하나입니다.
공동 식기를 사용하거나 음식을 나눠 먹는 습관을 줄이는 것도 감염을 예방하는 데 도움이 됩니다. 특히 가족 구성원 중 헬리코박터균에 감염된 사람이 있을 경우, 그와의 접촉을 통해 균이 전파될 수 있으므로 위생 관리에 각별한 주의가 필요합니다. 가능한 한 각자 자신의 식기를 사용하는 것이 바람직하며, 식사 후에는 식기를 바로 세척하는 습관을 들이는 것이 좋습니다.
또한, 균에 감염된 후 치료를 받았다면 재감염을 방지하기 위해 주기적인 건강 검진을 받는 것이 필요합니다. 헬리코박터균은 완치 후에도 재감염될 수 있는 위험이 존재하기 때문에, 정기적인 검사와 함께 개인 위생을 철저히 관리해야만 위장 건강을 오래도록 유지할 수 있습니다.
국세 환급금 조회방법
세금을 납부한 후 일정 기간이 지나면, 일부 납부한 세금이 환급될 수 있습니다. 국세 환급금은 납세자가 과도하게 납부한 세금을 돌려받는 것을 의미합니다. 이번 글에서는 국세 환급금 조회방
cresent.tistory.com
영구임대주택과 국민임대주택차이
주택 문제는 많은 사람들에게 중요한 주제입니다. 특히 영구임대주택과 국민임대주택의 차이를 이해하는 것은 주거 선택에 큰 영향을 미칩니다. 이번 글에서는 영구임대주택과 국민임대주택의
cresent.tistory.com
주택연금 주택가격 계산 알아보기
주택연금은 주택을 소유한 노인들이 주택을 담보로 하여 매월 일정 금액을 연금 형태로 수령할 수 있도록 하는 금융 상품입니다. 주택연금의 신청과 수령액은 주택 가격, 소유자의 나이, 이자율
cresent.tistory.com
비상장주식 거래방법 알아보기
비상장주식 거래방법에 대해 알아보도록 하겠습니다. 비상장주식은 상장되지 않은 기업의 주식을 의미하며, 일반적으로 주식시장에서 거래되지 않기 때문에 매매 과정이 복잡하고 정보 접근이
cresent.tistory.com
영구임대주택 입주자격
영구임대주택 입주 자격에 대한 이해는 주택 정책에 대한 올바른 이해와 연계되며, 이는 사회적 약자를 위한 주거 안정성을 보장하는 중요한 요소입니다. 영구임대주택은 정부가 주도하여 저소
cresent.tistory.com
댓글